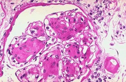
玻璃样变(Hyalinosis)又名透明样变性,是一种无细胞匀质病变,HE、MASSON及PAS染色呈红色,内常含血浆成分。
纤维素样坏死(fibrinoid necrosis),毛细血管结构破坏,纤维蛋白沉积,常伴随新月体形成。
玻璃样变特点是匀质、有形成分少,主要由蛋白类物质构成。
纤维素样坏死在这些染色中与玻璃样变颜色相似,但是更显颗粒状一些,匀质性更差一些,并常伴有细胞碎片及/或炎细胞。

绿色箭头所指玻璃样变

纤维素样坏死
玻璃样变属于细胞变性的一种 指细胞内过多的蛋白质引起细胞发生了形态学改变。光镜下,常表现为圆形、嗜伊红的小体或团块。电镜下,可呈均质状、细丝状或晶体状。
纤维化是指组织的实质细胞纤维化 或是纤维结缔组织增生
纤维样坏死是细胞坏死的一种 是发生在间质、胶原纤维和小血管壁的一种坏死。光镜下,病变部位的组织结构消失,变为境界不甚清晰的颗粒状、小条或小块状无结构物质,呈强嗜酸性,似纤维蛋白,有时纤维蛋白染色呈阳性,故称此为纤维蛋白样坏死
