概述大黑牙一般为龋齿、牙髓坏死、牙齿色素沉着,表现为牙齿颜色变深为黑色,可伴随牙齿缺损、疼痛、松动、对刺激敏感等症状。症状大黑牙一般为龋齿、牙髓坏死、牙齿色素沉着,三者具体症状不同。龋齿表现为颜色改变,龋损部位牙本质呈黄褐色、深褐色或黑色。龋洞形成后牙体缺损明显,病变牙本质质地较软,当食物嵌塞入龋洞中或患牙遇冷、热、酸、甜、化学刺激时可出现疼痛,去除刺激后症状消失。

牙髓坏死可表现为牙冠变色,可呈黄色、褐色或黑色。患者常无自觉症状。

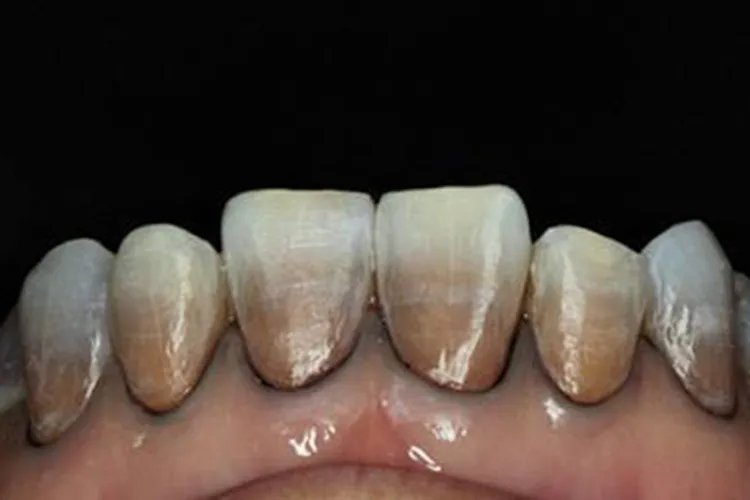
牙齿色素沉着可表现为牙齿颜色不断加深,呈黄褐色、棕褐色或黑色。患者常无自觉症状。

病因大黑牙可能是由于龋齿、牙髓坏死、牙齿色素沉着所导致,病因并不相同,具体如下:龋齿由于口腔微生物黏附在牙表面形成牙菌斑生物膜,口腔微生物在牙菌斑生物膜微生态环境中,利用糖类食物代谢产酸,并长期堆积在牙表面引起脱矿,形成龋损。牙髓坏死常由各型牙髓炎发展而来,也可因外伤打击,正畸矫治所施加的过度创伤力,修复治疗进行牙体预备时的过度手术切割产热,以及使用某些修复材料所致的化学刺激或微渗漏引起。牙齿色素沉着不良饮食习惯、吸烟、饮酒或口腔清洁不到位等,都可导致牙齿色素沉着。治疗大黑牙可能是由于龋齿、牙髓坏死、牙齿色素沉着所导致,治疗方法并不相同,具体如下:龋齿遵医嘱进行垫底修复,多数情况下垫底后可一次完成修复。若疼痛明显,可在医生指导下使用止痛药缓解疼痛,待症状消失后再做修复。若龋齿程度较重,可行间接盖髓术,促进软化牙本质再矿化和修复性牙本质形成,再作修复治疗。牙髓坏死若无症状可不做特殊治疗,若症状较重,可行根管治疗术或牙髓塑化治疗。牙齿变色明显可做牙内漂白,或贴面、全冠修复。牙齿色素沉着可用洁治器刮除,或采用洗牙、抛光等方式进行去除。同时应改变不良生活习惯,避免烟酒,保持口腔卫生。
